❭❭ SERVICIOS DENTALES GRATUITOS
Servicios dentales gratuitos en todas las clínicas
  • AJUSTES OCLUSALES Y PROTÉSICOS (para tratamientos realizados en clínica)
  • Este servicio dental gratuito solamente es de aplicación en aquellas clínicas dentales en las que el paciente se esté realizando el tratamiento del que este servicio forma parte.

    A pesar de todas las precauciones tomadas por el equipo protésico, las imprecisiones pueden ocurrir y pueden producirse por varios factores:

    • En ocasiones, el paciente puede cometer involuntariamente errores de registro sin que el dentista lo haya percibido.

    • Errores en la cadena de polimerización de las prótesis, o desplazar un diente en la cera durante el acabado antes del enmuflado.

    • En la elaboración de la resina por micro movimientos durante la polimerización de ésta.

    • La relación céntrica del paciente puede evolucionar en el tiempo: una prótesis total puede llegar a actuar como una auténtica «férula de descarga» (la relación céntrica no cambia pero la rehabilitación en sí puede modificar la posición condilar aunque en ningún caso sustituye a la férula de descarga).

    • El desgaste diferencial de los diversos materiales protésicos puede hacer que varíe la oclusión inicial en el tiempo.

    Todas estas razones aconsejan la realización de ajustes oclusales y protésicos tanto en la colocación de la prótesis como en su posterior mantenimiento.

    Imagen: señalamiento de zonas en las que realizar ajustes
  • APERTURA Y DRENAJE DE ABCESOS (para tratamientos realizados en clínica)
  • Este servicio dental gratuito solamente es de aplicación en aquellas clínicas dentales en las que el paciente se esté realizando el tratamiento del que este servicio forma parte.

    Los abscesos gingivales son un proceso inflamatorio con acumulación de pus que se produce en el tejido periodontal y están generalmente relacionados con procesos infecciosos. Los síntomas más frecuentes son dolor e inflamación del tejido blando de alrededor de la raíz del diente.
  • CAJA DE ORTODONCIA (para tratamientos realizados en clínica)
  • Este servicio dental gratuito solamente es de aplicación en aquellas clínicas dentales en las que el paciente se esté realizando el tratamiento del que este servicio forma parte.

    Estuche de plástico para transportar y almacenar de forma segura la aparatología removible y férulas en los tratamientos de ortodoncia.
  • CEMENTADO INTRARADICULAR DE MUÑONES PRE-PROTÉSICOS (para tratamientos realizados en clínica)
  • Este servicio dental gratuito solamente es de aplicación en aquellas clínicas dentales en las que el paciente se esté realizando el tratamiento del que este servicio forma parte.

    El muñón es el elemento del implante al que se fija la corona.
    Partes de un implante: perno, muñón, corona.

    Todo muñón intraradicular debe ser correctamente cementado en el conducto radicular. El cemento aumenta la retención, ayuda a la distribución uniforme de las fuerzas y sella los espacios entre el diente y el perno.

    Imágenes: levantamiento de puente

    1. Muñones colocados previos a la fijación de las coronas.

    2. Partes de un implante : perno, muñón, corona.
  • CURAS (para tratamientos realizados en clínica)
  • Este servicio dental gratuito solamente es de aplicación en aquellas clínicas dentales en las que el paciente se esté realizando el tratamiento del que este servicio forma parte.

    Tratamiento que se sigue para curar o aliviar una enfermedad, una herida o un daño físico. Consiste en la aplicación de sustancias y materiales en el tratamiento de una herida o lesión.
  • DIAGNÓSTICO DE ABRASIONES DENTARIAS/LESIONES DE ORIGEN NO CARIOGÉNICO
  • La abrasión puede definirse como el desgaste de una sustancia, tal como el esmalte o la dentina, causado por un proceso mecánico anormal. El esmalte es la sustancia más fuerte del cuerpo, y el esmalte intacto es resistente a la abrasión. Sin embargo, con el paso del tiempo se presenta un desgaste. Una vez que la dentina más suave está expuesta, el desgaste en la superficie dental resultado de la abrasión continuará a un mayor ritmo. Estos hechos implican consecuencias importantes tanto para pacientes con recesión gingival como para pacientes periodontales. La recesión gingival es una afección común – un estudio calculó que la recesión gingival de al menos 3 mm en uno o más dientes es experimentada por lo menos en un 22% de los adultos en el grupo de 30 a 90 años. El cemento dental es también más suave que la dentina y pronto sujeto de abrasión, ya sea por el uso de productos inapropiados o una técnica incorrecta de higiene bucal.

    En sus etapas iniciales se considera que el desgaste dental no es dañino. Sin embargo, a medida que progresa puede generar hipersensibilidad dentinaria, pérdida de la forma y color del diente y requerir una compleja intervención de reconstrucción. A pesar de ello, mucha gente no es consciente de las consecuencias del desgaste dental y de las medidas que pueden tomarse para proteger los dientes de este lento e insidioso proceso.
    Cualquier persona con dentición natural es susceptible de desarrollar algunos signos de desgaste dental, sin embargo muchos pacientes no son conscientes de lo que les está ocurriendo hasta que el proceso ha alcanzado una etapa avanzada.
    Por ello, es fundamental que el dentista lleve a cabo un diagnóstico que permita el reconocimiento precoz de los signos y síntomas si se quiere tomar medidas preventivas eficaces.

    Distinguimos atrición, erosión, abfracción y abrasión:

    • Atrición: pérdida gradual de tejidos duros como resultado de la masticación, la atrición patológica se denomina bruxismo. Se manifiesta con áreas marrones (dentina expuesta) en ocasiones lesiones en ATM e hipersensibilidad dentinaria.

    • Abfracción: pérdida de tejido dentario duro por fuerzas de carga biomecánica, son fuerzas laterales sobre los dientes que originan lesión y fatiga deformando la región cervical del diente y rompiendo la estructura dura.

    • Abrasión: desgaste a causa de una fricción anormal debida a la alimentación o al contacto normal entre dientes a nivel oclusal, cervical o incisal debidas, según su localización, a interposición de sustancias entre los dientes, cepillado horizontal o retenedores protésicos. Puede cursar con hipersensibilidad o ausencia de la misma, se manifiesta como zonas pulidas amarillentas y marrones.

    • Erosión: pérdida de tejidos dentarios por la acción de agentes químicos en los que no participan las bacterias, como dietas acidas (chupar limones), catadores profesionales, industrias químicas, pintores… Puede ocasionar vómitos, reflujo gastroesofágico…

    Imágenes: piezas dentales con abrasión dentaria

  • DIAGNÓSTICO Y PREVENCIÓN DE XEROSTOMÍA
  • La xerostomía es una situación clínica o sensación subjetiva de sequedad bucal por la disminución de saliva provocada por un mal funcionamiento de las glándulas salivales. También denominada: boca seca, asialorrea o hiposalivación. Se denomina propiamente xerostomía cuando el flujo salival disminuye a la mitad tanto en reposo como con estímulo.

    Esta ausencia de flujo salivar, produce alteraciones dentales por la pérdida de la función protectora de la saliva: a causa de la pérdida de iones y proteínas por la falta de saliva se pierde cierta acción anticariogénica causada por el cambio de pH que pasa a no ser el más adecuado para el mantenimiento del ecosistema. Aparecen caries en el cuello del diente de evolución rápida. Mayor tendencia a las infecciones bucales, frecuentemente aparece candidiasis, erosiones o irritaciones.

    Para su diagnóstico, el dentista realiza una exploración de la boca y mucosa para comprobar si existen síntomas o signos: alteraciones en la mucosa pérdida de brillo y palidez; fisuras en el dorso de la lengua; descamación labial; candidiasis; erosiones o irritaciones; caries en el cuello del diente de evolución rápida; saliva espesa y filamentosa; halitosis y tumefacciones en glándulas salivares.
  • DOS REVISIONES ANUALES PARA MENORES DE 16 AÑOS (en las clínicas del Plan Infantil)
  • Este servicio dental gratuito solamente es de aplicación en aquellas clínicas identificadas en esta web como pertenecientes al Plan Infantil (aquellas que disponen de las especialidades de Ortodoncia y Odontopediatría).

    Los niños necesitan revisiones periódicas dentales como prevención para detectar posibles caries o deformaciones.

    Las revisiones de los niños en la clínica dental han de ser más habituales debido al estilo de vida que llevan. Además, los dientes de leche son más débiles que los definitivos, por lo que la aparición de caries es más fácil que se produzca.

    La primera visita al dentista se aconseja alrededor de los 3 años de edad, cuando ya se tiene toda la dentición de leche en boca y, a partir de ahí, en el caso de que esté todo correcto, se aconseja hacerse revisiones periódicas.

    Por ello, esta gratuidad consiste en: el menor de 16 de años puede acudir a la clínica dental a realizarse, sin coste alguno, dos revisiones anuales que no han de ser, necesariamente, una cada 6 meses.

    Protocolo de actuación:

    • Exploración por el odontopediatra para controlar la erupción dentaria, si han aparecido caries o algún problema de crecimiento (en este caso, le remitirá con el ortodoncista).

    • En caso de encontrarse alguna patología, se emitirá el diagnóstico de la misma y el correspondiente presupuesto. Si es necesario seguir algún tipo de tratamiento, se establecerán las pautas del mismo.
  • EDUCACIÓN PARA LA HIGIENE DENTAL Y TÉCNICA DE CEPILLADO
  • Explicación detallada sobre los hábitos a aplicar por los pacientes, para evitar los problemas y enfermedades odonto-estomatológicos motivados por una incorrecta o insuficiente higiene bucodental: técnica correcta de cepillado, alimentos con alto potencial cario génico, uso de hilo dental, enjuague con colutorios, visita periódica al dentista.
  • ENSEÑANZA DE AUTOEXAMEN PREVENTIVO DE CÁNCER ORAL
  • Es bien sabido que el diagnóstico precoz del cáncer, esto es, la detección de lesiones en sus estadios iniciales cuando tienen menos de 2 cm. de tamaño y sin que haya habido metástasis, junto con el tratamiento adecuado, son las medidas más efectivas para controlar el cáncer bucal. En este sentido, aunque el papel que juega el odontólogo es importantísimo, no menos importante es la participación del paciente en la detección de estas lesiones.

    El dentista instruye al paciente respecto a la forma en la que debe proceder periódicamente, para detectar la aparición de sintomatologías que pudieran tener relación con la aparición de un cáncer bucal.
  • ENSEÑANZA DE PAUTAS ALIMENTICIAS PARA PREVENCIÓN DE CARIES
  • Los hábitos y pautas alimenticias son un elemento determinante de la salud bucal de los pacientes.

    De todos es sabido, lo difícil que resulta transmitir y educar a los niños en la evitación de la ingesta de alimentos inadecuados para el correcto desarrollo de su dentadura. Pero, sin embargo, el nivel de concienciación respecto a unas correctas pautas alimenticias en los adultos es mucho menor.

    Por ello es de suma importancia que el dentista, en función de la edad y patología del paciente, le aconseje y asesore sobre que alimentos debe evitar y aquellos otros cuyo consumo debe incrementar.
  • ENSEÑANZA DE TÉCNICAS DE PREVENCIÓN PERIODONTAL
  • Las enfermedades periodontales son un conjunto de enfermedades que afectan a los tejidos (periodonto) que rodean y sujetan a los dientes en los maxilares. Son enfermedades de naturaleza inflamatoria y de causa infecciosa (causadas por la placa bacteriana).

    Las enfermedades periodontales son las principales causantes del deterioro de la salud bucal: un 45% de los menores de 15 años tiene algún tipo de patología de enfermedad periodontal, siendo este porcentaje del 81% en el tramo de 35 a 44 años y del 92,7% en mayores de 65 años.

    Ante este preocupante escenario, la enseñanza por el dentista de las técnicas de prevención se convierte en un elemento fundamental de la salud bucal de los pacientes.
  • ENSEÑANZA DEL MANEJO DE PRÓTESIS
  • Las prótesis removibles no son meros instrumentos mecánicos, sino que trasmiten fuerzas a los dientes, a las encías y al hueso. Requieren un especial cuidado de adaptación, cuya duración varía según las personas y las prótesis. Cada persona tiene necesidades y características distintas, por lo que todas las prótesis son únicas y se deben confeccionar de forma individualizada.

    Habrá un momento en que el paciente estará adaptado y seguramente no tendrá conciencia de llevar una prótesis en su boca, pero es necesario que pase por un periodo de adecuación en el que visite al dentista para realizar los ajustes que sean necesarios. Además, al ser un aparato que se lleva por periodos prolongados, debe existir una buena educación frente a su cuidado y limpieza diaria, para evitar consecuencias mayores.

    Todo ello, hace que la enseñanza por parte del dentista al paciente en el adecuado manejo y mantenimiento de las prótesis, sea la mejor garantía de su confortabilidad y duración.
  • ENSEÑANZA DEL USO DE LA SEDA DENTAL
  • El uso correcto del hilo dental elimina la placa y las partículas de comida de lugares que el cepillo dental no puede alcanzar fácilmente: debajo de la encía y entre los dientes. Como la acumulación de placa puede provocar caries y enfermedades de las encías, se recomienda el uso diario de hilo dental.

    El dentista instruye al paciente sobre el uso correcto del hilo dental en función del estado de su boca y le asesora sobre el tipo de hilo dental que debe utilizar.

    Imágenes:

    1. Uso de hilo dental.

    2. Uso de hilo dental con brackets.

  • EXAMEN INICIAL, DIAGNÓSTICO Y PRESUPUESTO
  • Consideraciones previas:

    • Son aquellas visitas a las clínicas dentales que el paciente realiza con la finalidad de conocer el estado de su salud bucodental, posibles patologías y sus causas, posibles tratamientos dentales a realizar y sus pautas, presupuesto detallado del coste de los actos dentales a realizar en los posibles tratamientos a iniciar.

    Protocolo de actuación:

    • Exploración o examen odonto-estomatológico.

    • En caso de encontrarse alguna patología, se emitirá el diagnóstico de ésta y el correspondiente presupuesto. Si es necesario seguir algún tipo de tratamiento, se establecerán las pautas de éste.
  • EXPLORACIÓN Y DIAGNÓSTICO DE REHABILITACIÓN PROTÉSICA (para tratamientos realizados en clínica)
  • Este servicio dental gratuito solamente es de aplicación en aquellas clínicas dentales en las que el paciente se esté realizando el tratamiento del que este servicio forma parte.

    La rehabilitación protésica es la parte de la Odontología encargada de la restauración es decir devuelve la función estética y armonía oral mediante prótesis dentales de pérdidas de dientes, grandes destrucciones o de solucionar problemas estéticos, siempre buscando una oclusión y función correcta.

    La rehabilitación protésica es una especialidad dentro de la odontología que combina en forma integral las áreas de prótesis fija, prótesis removible, operatoria, oclusión e Implante dental, que realiza el diagnóstico y plan de tratamiento adecuado al paciente de alta complejidad que requiere recuperar su salud bucal a través de las técnicas más modernas de rehabilitación. A su vez, establece estrecha relación con las demás disciplinas de la odontología, como periodoncia, endodoncia y ortodoncia.
  • EXTRACCIÓN DE DIENTES TEMPORALES (en las clínicas del Plan Infantil)
  • La exodoncia en dentición temporal es el acto quirúrgico por el cual es eliminado el órgano dentario de su articulación alveolar.

    Normalmente no es necesaria la extracción de la dentición temporal, ya que la erupción de los dientes permanentes produce una reabsorción de la raíz de los dientes primarios, que provoca su retirada espontánea.

    La extracción de dientes de leche no suele presentar complicaciones ya que contamos con las facilidades que nos da la reabsorción de las raíces y la elasticidad del hueso joven.
  • EXTRACCIONES PERIODONTALES SIN NECESIDAD DE CIRUGÍA (EXCLUIDAS CORDALES O PIEZAS INCLUIDAS)
  • Comprende las extracciones de piezas dentales sujetas a patología periodontal con movilidad grado II-III y para las cuales no es imprescindible la realización de estudio radiográfico. Por tanto, no incluye las extracciones quirúrgicas ni aquellas que necesitan limpieza de quistes radiculares o puntos de sutura.
  • LIMPIEZA DE BOCA CADA 12 MESES SOBRE PERIODONTO SANO (DETARTRAJE)
  • Consideraciones previas:

    • La gratuidad de la limpieza de boca anual se puede volver a utilizar una vez transcurridos, al menos 12 meses, desde la última limpieza gratuita realizada: esto es, el derecho a realizársela NO FINALIZA EL 31 DE DICIEMBRE DE CADA AÑO.

    • La limpieza bucal, también denominada profilaxis dental, tartrectomía o detartraje, es un tratamiento realizado sin aplicación de anestesia, dirigido a eliminar el cálculo, tártaro o sarro supra gingival. Se trata de un tratamiento preventivo que debe realizarse sobre periodonto sano y no debe confundirse con otros tipos de tratamientos periodontales de carácter curativo o reparador: curetajes, raspaje, alisado radicular o cirugía periodontal.

    • Para realizarlo es necesario QUE NO CONCURRE NINGUNA PATOLOGÍA PERIODONTAL EN LA BOCA DEL PACIENTE.

    • En aquellos supuestos en los que la clínica no disponga de información previa suficiente sobre la salud bucodental del paciente, y el profesional de la odontología actuante considere necesaria la realización de una radiografia para poder emitir un diagnóstico, se lo indicará e informará previamente al paciente.

    • Se puede elegir la misma clínica dental en la que se realizó la anterior tartrectomía o cualquier otra clínica dental del cuadro concertado.

    • Las otras limpiezas de boca distintas a la gratuita cada 12 meses, deberán ser abonadas por los pacientes conforme a las tarifas vigentes publicadas que esta misma página web.


    Protocolo de actuación:

    La forma de actuación correcta en la limpieza bucal sobre periodonto sano consiste en:

    • Detartraje o eliminación del cálculo supra gingival por medio de ultrasonidos.

    • Remoción de manchas dentales no patológicas y susceptibles de desaparecer mediante pulido especializado con pastas abrasivas, a veces sustituidas por bicarbonato de sodio a presión, según los protocolos de cada dentista.
  • MONTAJE EN ARTICULAR SEMIAJUSTABLE PROTÉSICA (para tratamientos realizados en clínica)
  • Este servicio dental gratuito solamente es de aplicación en aquellas clínicas dentales en las que el paciente se esté realizando el tratamiento del que este servicio forma parte.

    Los articuladores son un análogo mecánico de la ATM y a los maxilares, en los que se colocan los modelos, tanto de maxilar como de la mandíbula del paciente, para simular las relaciones funcionales e imitar sus movimientos.

    Su función primaria es actuar como si fueran un paciente en ausencia del mismo, reproduciendo la dinámica mandibular a nivel condileo y su relación con arcadas dentarias y el macizo craneofacial.

    Imagen: articulador
  • OBTURACIÓN PROVISIONAL (para tratamientos realizados en clínica)
  • Este servicio dental gratuito solamente es de aplicación en aquellas clínicas dentales en las que el paciente se esté realizando el tratamiento del que este servicio forma parte.

    Una obturación provisional es aquel procedimiento por el que se coloca un material provisionalmente obturando una cavidad dentaria producida por caries y que por diferentes circunstancias no puede ser obturada definitivamente. Estas circunstancias pueden ser la presencia de una caries extensa que impida un tratamiento convencional en una fase, la realización de un recubrimiento pulpar directo o indirecto, etc.
  • PRIMERA VISITA PARA RECONOCIMIENTO DEL PACIENTE (ATM)
  • Consiste en la primera consulta donde el profesional evalúa el estado de la articulación temporomandibular (ATM), conocida comúnmente como mandíbula. En caso de detectar anomalía, recomendará el tratamiento a seguir.
  • PRIMERA VISITA PARA RECONOCIMIENTO DEL PACIENTE (en las clínicas del Plan Infantil)
  • Este servicio dental gratuito solamente es de aplicación en aquellas clínicas identificadas en esta web como pertenecientes al Plan Infantil (aquellas que disponen de las especialidades de Ortodoncia y Odontopediatría).

    Consiste en la primera consulta donde el odontólogo evalúa el estado general de la boca, diagnostica y recomienda los posibles tratamientos y alternativas en caso de detectar patologías dentales.
  • PRIMERA VISITA PARA RECONOCIMIENTO DEL PACIENTE (ORTODONCIA)
  • Consiste en la primera consulta donde el profesional evalúa, diagnostica y recomienda los posibles tratamientos y alternativas disponibles dentro de los distintos tipos de ortodoncia.
  • PULIDO DE AMALGAMA
  • El pulido de amalgama es el proceso por el que se finaliza la realización de una restauración de amalgama y que tiene como objetivo el obtener una superficie homogénea, aumentar la resistencia del material, eliminar la fase gamma 2 del producto, disminuir la retención de placa bacteriana, mejorar la tolerancia de los tejidos gingivales, mejorar la higiene, mejorar la adaptación marginal, mejora del aspecto estético, etc. Con todo ello el pulido aumenta la durabilidad de los empastes de amalgama de plata, reduce la corrosión y aumenta la comodidad del paciente.
  • RADIOGRAFÍA DE ALETA (para tratamientos realizados en clínica)
  • Este servicio dental gratuito solamente es de aplicación en aquellas clínicas dentales en las que el paciente se esté realizando el tratamiento del que este servicio forma parte.

    La radiografía de aleta de mordida permite obtener al mismo tiempo imágenes de los dientes superiores e inferiores.

    La finalidad de la radiografía de aleta de mordida es detectar posibles caries que estén situadas en el espacio entre dos dientes (espacio interproximal), o evaluar el estado de la corona y del tejido periodontal, así como para determinar la altura de la cresta alveolar, posibles alteraciones pulpares, ajustes de prótesis fijas, etc.

    También conocida como interproximal, recibe su nombre del hecho de que la placa radiológica consta de una lengüeta o aleta que se coloca entre las dos arcadas dentarias para así poder mantenerla en su sitio.
  • RADIOGRAFÍA INTRAORAL (en las clínicas del Plan Infantil)
  • Este servicio dental gratuito solamente es de aplicación en aquellas clínicas identificadas en esta web como pertenecientes al Plan Infantil (aquellas que disponen de las especialidades de Ortodoncia y Odontopediatría).

    Los exámenes de rayos X son un importante medio que ayuda a los dentistas a diagnosticar, planificar los tratamientos y hacer el seguimiento de los mismos y del desarrollo de las lesiones.

    La radiografía intrabucal o intraoral es una técnica exploratoria consistente en la colocación, dentro de la boca, de placas radiográficas de diferente tamaño que son impresionadas, desde el exterior, por un aparato de rayos X.
  • RADIOGRAFÍA INTRAORAL (para tratamientos realizados en clínica)
  • Este servicio dental gratuito solamente es de aplicación en aquellas clínicas dentales en las que el paciente se esté realizando el tratamiento del que este servicio forma parte.

    Los exámenes de rayos X son un importante medio que ayuda a los dentistas a diagnosticar, planificar los tratamientos y hacer el seguimiento de los mismos y del desarrollo de las lesiones.

    La radiografía intrabucal o intraoral es una técnica exploratoria consistente en la colocación, dentro de la boca, de placas radiográficas de diferente tamaño que son impresionadas, desde el exterior, por un aparato de rayos X.
  • RADIOGRAFÍA OCLUSAL (para tratamientos realizados en clínica)
  • Este servicio dental gratuito solamente es de aplicación en aquellas clínicas dentales en las que el paciente se esté realizando el tratamiento del que este servicio forma parte.

    Las técnicas de radiografía intrabucal oclusal se denominan así porque la colocación y sujeción de la película se realiza en el plano oclusal: entre el maxilar y la mandíbula.

    Se utilizan fundamentalmente en dientes incluidos, restos radiculares, cuerpos extraños, líneas de fractura y en tratamientos de endodoncia.
  • RECEMENTADO DEL MANTENEDOR (para tratamientos realizados en clínica)
  • Este servicio dental gratuito solamente es de aplicación en aquellas clínicas dentales en las que el paciente se esté realizando el tratamiento del que este servicio forma parte.

    Se denomina mantenedor a todo aquel dispositivo, bien fijo o bien removible, encaminado a preservar el espacio que han dejado uno o varios dientes hasta que se produzca la erupción y evolución normal del sucesor permanente. Es importante para restablecer, en la medida de lo posible, las funciones de la dentición temporal: fonación, deglución, masticación y la estética.

    El cementado/recementado se aplica en los mantenedores fijos para garantizar su sujeción.
  • REPOSICIÓN DE BRACKETS AUTOLIGABLES (para tratamientos realizados en clínica)
  • Este servicio dental gratuito solamente es de aplicación en aquellas clínicas dentales en las que el paciente se esté realizando el tratamiento del que este servicio forma parte.

    Recementación y reposición (en caso de pérdida) de brackets autoligables que se produzcan durante el tratamiento correctivo. Durante los tratamientos prolongados de ortodoncia, se puede producir un despegue de los brackets o la pérdida de alguno de ellos.
  • REPOSICIÓN DE BRACKETS ESTÉTICOS (para tratamientos realizados en clínica)
  • Este servicio dental gratuito solamente es de aplicación en aquellas clínicas dentales en las que el paciente se esté realizando el tratamiento del que este servicio forma parte.

    Recementación y reposición (en caso de pérdida) de brackets estéticos que se produzcan durante el tratamiento correctivo. Durante los tratamientos prolongados de ortodoncia, se puede producir un despegue de los brackets o la pérdida de alguno de ellos.
  • REPOSICIÓN DE BRACKETS METÁLICOS (para tratamientos realizados en clínica)
  • Este servicio dental gratuito solamente es de aplicación en aquellas clínicas dentales en las que el paciente se esté realizando el tratamiento del que este servicio forma parte.

    Recementación y reposición (en caso de pérdida) de brackets metálicos que se produzcan durante el tratamiento correctivo. Durante los tratamientos prolongados de ortodoncia, se puede producir un despegue de los brackets o la pérdida de alguno de ellos.
  • REPOSICIÓN DE BRACKETS TRANSPARENTES (para tratamientos realizados en clínica)
  • Este servicio dental gratuito solamente es de aplicación en aquellas clínicas dentales en las que el paciente se esté realizando el tratamiento del que este servicio forma parte.

    Recementación y reposición (en caso de pérdida) de brackets transparentes que se produzcan durante el tratamiento correctivo. Durante los tratamientos prolongados de ortodoncia, se puede producir un despegue de los brackets o la pérdida de alguno de ellos.
  • RETIRADA DE PUNTOS
  • Se aplica en suturas cuyos materiales no son reabsorbidos por el organismo y que por lo tanto, precisan ser retiradas. Pueden ser monofilamento o multifilamento, orgánicas (seda, algodón, crin…) o inorgánicas (aleaciones sintéticas o metálicas). La visita de retirada de puntos sirve para: revisar la herida, retirar sustancias que actúen como cuerpo extraño en los tejidos, promover la continuidad en el proceso de cicatrización, drenar abscesos y seromas (si existieran) o facilitar el proceso de curación de una herida.
  • TALLADO SELECTIVO (para tratamientos realizados en clínica)
  • Este servicio dental gratuito solamente es de aplicación en aquellas clínicas dentales en las que el paciente se esté realizando el tratamiento del que este servicio forma parte.

    El tallado selectivo es un procedimiento por el que se realiza un ligero desgaste de determinadas zonas de los dientes con el fin de equilibrar la oclusión y así lograr la máxima armonía, o eliminar posibles interferencias de un diente con otro. También puede estar indicado cuando se produce una interferencia que ocasiona dolor o como parte final de procedimientos de una restauración ortodóntica o protésica.

    Los objetivos de este tipo de tallado son: devolver a la cara masticatoria del diente su forma, lograr que los dientes superiores e inferiores encajen perfectamente cuando la boca está cerrada y distribuir uniformemente la fuerza de la masticación entre todos los dientes.
  • TOMA DE BIOPSIA (para tratamientos realizados en clínica)
  • Este servicio dental gratuito solamente es de aplicación en aquellas clínicas dentales en las que el paciente se esté realizando el tratamiento del que este servicio forma parte.

    La biopsia oral es un procedimiento quirúrgico encaminado a obtener tejido de un organismo vivo para su estudio microscópico con una finalidad diagnóstica y facilitar la prescripción de tratamientos específicos. La zona elegida debe ser la más representativa de la lesión.
  • TOMA DE REGISTROS INTERMAXILARES (para tratamientos realizados en clínica)
  • Este servicio dental gratuito solamente es de aplicación en aquellas clínicas dentales en las que el paciente se esté realizando el tratamiento del que este servicio forma parte.

    Es un procedimiento clínico y técnico con el cuál se logra obtener un registro físico de las relaciones funcionales dinámicas y estáticas intermaxilares y dentales del paciente.

    Los registros interoclusales o intermaxilares son céntricos y excéntricos y son de gran utilidad para realizar el montaje de los modelos de estudio o de trabajo en los articuladores, para programarlos y reproducir las características biomecánicas del aparato masticatorio de paciente.

    Imágenes:

    1. Toma de registros.

    2. Toma de registros.
  • TOPIFICACIÓN DE FLÚOR (en las clínicas del Plan Infantil)
  • Este servicio dental gratuito solamente es de aplicación en aquellas clínicas identificadas en esta web como pertenecientes al Plan Infantil (aquellas que disponen de las especialidades de Ortodoncia y Odontopediatría).

    El flúor para uso en clínica es un gel que se aplica sobre las piezas dentarias para disminuir considerablemente el riesgo de caries dental. Ha sido comprobado que hace más resistente el esmalte de los dientes, evitando que sea dañado por la acción de las bacterias y los ácidos que éstas producen.

    Se recomienda aplicar flúor en el consultorio, desde que el niño cumple 3 años de edad en adelante como parte de un protocolo de prevención y hacerlo periódicamente, dependiendo del riesgo de caries de cada niño. La aplicación del flúor es un procedimiento sencillo y que no les produce molestias a los niños.

    En el uso de todos ellos es fundamental que el tratamiento sea precedido por una limpieza profunda para eliminar todos los depósitos. La omisión de la profilaxis y la presencia resultante de depósitos sobre la superficie del diente disminuye la eficacia de este tratamiento. Por tal motivo, primero se realiza una limpieza de la superficie de los dientes y luego se aplica el gel de flúor durante 1 minuto. Luego de esto, el niño no podrá comer ningún alimento ni tomar agua durante 1 hora para que su acción sea más intensa.

    También es recomendable para los adultos en caso de sensibilidad y para ayudarles a mantener unos dientes sanos.
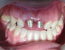
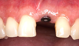
  • TORNILLO DE CEMENTACIÓN (para tratamientos realizados en clínica)
  • Este servicio dental gratuito solamente es de aplicación en aquellas clínicas dentales en las que el paciente se esté realizando el tratamiento del que este servicio forma parte.

    También llamado pilar de cementación. Se utiliza en los implantes con corona transatornillada que es aquella que va atornillada directamente desde la cara oclusal al implante, formando una sola unidad. En cambio, la atornillada lo hace directamente al pilar, generalmente desde las caras libres, pudiéndose combinar con una cementación.

    La prótesis se puede unir al pilar mediante cementos dentales comportándose como un muñón al que va unido una corona, un puente, o una sobredentadura.
  • TORNILLO DE CICATRIZACIÓN (para tratamientos realizados en clínica)
  • Este servicio dental gratuito solamente es de aplicación en aquellas clínicas dentales en las que el paciente se esté realizando el tratamiento del que este servicio forma parte.

    También llamado pilar de cicatrización.

    Una vez que se ha producido el proceso de osteointegración del implante al hueso (unión directa, estructural y funcional, sin tejido periodontal alrededor entre implante dental y hueso alveolar), se lleva a cabo lo que se conoce como una segunda cirugía. En esta intervención se desenrosca y se retira el tornillo de cierre y se pasa a enroscar el llamado pilar o tornillo de cicatrización, el cual tiene la función de conectar la restauración protésica al implante.
  • VISITA DE REVISIÓN
  • Son aquellas asistencias a las clínicas que se realizan periódicamente con fines preventivos. No están relacionadas con ningún tratamiento efectuado previamente. Pueden solicitarse: a instancia del paciente, por presentar algún problema odontológico que requiera ser valorado o por protocolo de la clínica que indique a su paciente la necesidad de realizar, al menos, una revisión al año con fines preventivos.
  • VISITA DE URGENCIA
  • Se denomina visita de urgencia a la que solicita un paciente cuando él considera que padece una afección odontológica por la debe obtener prioridad en su cita.

    Las afecciones odontológicas consideradas como prioritarias son aquellas derivadas de situaciones tales como: infecciones orales y maxilofaciales, traumatismos alveolo dentarios, hemorragias bucales, lesiones agudas de la mucosa bucal, úlceras de cúbito, fracturas y descimentado de prótesis, hematomas, dolor, inflaciones, abscesos, osteítis, periostitis o despegado de brackets.
Servicios dentales gratuitos según clínica elegida
  • CEMENTADO Y RECEMENTADO DE CORONAS O PUENTES (para tratamientos realizados en clínica)
  • El cementado de coronas y puentes dentales es un procedimiento por el que se coloca de un modo definitivo o provisional una corona o un puente en los dientes preparados para alojarlo. El cemento rellena el espacio virtual existente entre el diente y la superficie interna de la corona.
  • DIAGNÓSTICO PRECOZ DEL CÁNCER BUCAL
  • La prevención y educación sanitaria de los pacientes adquiere cada vez mayor importancia en el campo de la Odontología. Si bien la prevención de las caries, enfermedad periodontal… es de un gran interés desde el punto de vista odontológico, la prevención del cáncer oral, aun siendo una enfermedad relativamente poco frecuente en relación con las anteriores, multiplica su importancia debido a que pone en juego la vida del paciente.

    El cáncer oral es una enfermedad que suele afectar a personas mayores de 45 años (60 años de edad promedio), y más frecuentemente a varones que a mujeres. El tipo de tumor más frecuente es el carcinoma oral de células escamosas.

    Entre los signos de alarma o de sospecha que debemos considerar se encuentran: lesiones (fundamentalmente úlceras, bultos o heridas que, sin causa aparente, no cicatrizan en 2 semanas); manchas blancas (leucoplasias), rojas (eritroplasias) o pigmentadas; tumoraciones, hiperplasias, nódulos, asimetrías e inflamaciones y hemorragias de origen incierto.
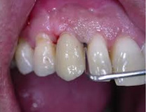
  • DIAGNÓSTICO Y SONDAJE
  • La enfermedad periodontal es considerada una enfermedad infecciosa-inflamatoria que, de acuerdo al grado de compromiso, puede llevar a la pérdida total de los tejidos de soporte del diente.

    Considerando que la etiología de la enfermedad es principalmente infecciosa (placa bacteriana), el tratamiento se enfoca fundamentalmente en el control de la infección y reducción de la inflamación.

    Por lo tanto, para ejecutar un tratamiento periodontal exitoso, es necesario determinar de forma adecuada el diagnóstico y pronóstico periodontal.

    El sondaje periodontal complementa la evaluación visual inicial de la condición de los tejidos periodontales.

    En la práctica clínica actual, las sondas periodontales son principalmente utilizadas para evaluar:

    • Distancia del margen gingival a la base del saco periodontal.

    • Pérdida de inserción clínica o distancia desde la unión cemento esmalte al fondo del saco periodontal.

    • Evaluar la respuesta hemorrágica a la presión física.

    • Determinar la presencia de placa bacteriana o cálculos.

    Imagen: sondaje
  • LEVANTAMIENTO DE PUENTES (para tratamientos realizados en clínica)
  • Una corona es una restauración individual para una pieza dentaria (o diente) en concreto. En ocasiones, son también llamadas `fundas`, sobre todo por el paciente, que no las ve como una prótesis en sí. Esto es así, porque en realidad, las coronas se colocan sobre el diente natural del paciente, que habrá sido previamente tallado, y como si de una funda se tratara.

    Un puente es un tipo de prótesis fija que sustituye desdentacion de, al menos, un diente. Para ello, el dentista talla los dientes vecinos a la pieza ausente y el protésico elabora dos coronas en los dientes pilares, también llamados retenedores y, mediante un atache, sostienen al diente que queremos remplazar (póntico).

    El levantamiento de coronas y puentes consiste en el tratamiento dental mediante el cual, estas prótesis, se desacoplan de su fijación de la boca del paciente para diversas actuaciones: revisión, saneamiento, cementación, extracción...

    Imagen: levantamiento de puente

  • OBTURACIÓN EN DIENTES TEMPORALES
  • La obturación en dientes temporales es un procedimiento por el que se restaura la anatomía de un diente temporal mediante la colocación del material adecuado (empaste).

    Imágenes: dientes temporales con caries

  • ORTOPANTOMOGRAFÍA DIGITAL
  • La ortopantomografía o radiografía panorámica es una técnica radiológica que representa, en una única película, una imagen general de los maxilares, la mandíbula y los dientes; por tanto, es de primordial utilidad en el área dentomaxilomandibular.

    Su papel en el diagnóstico odontológico, no sólo de los dientes sino también del maxilar y mandíbula, es fundamental. Sin la ortopantomografía, el odontólogo perdería una gran ayuda en la mayoría de las especialidades de su campo. Prácticamente es utilizada de forma sistemática en odontología, llegando a ser un arma diagnóstica rutinaria. El valor diagnóstico de la ortopantomografía en cirugía bucal, implantología, ortodoncia, periodoncia, patología oral y dental está claramente demostrado.

    Imágenes:

    1. Ortopantomografía digital.

    2. Ortopantomografía o radiografía panorámica

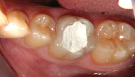
  • SELLADORES OCLUSALES
  • Los selladores oclusales son un material que se utiliza en la consulta odontológica y que se coloca en las fosas y fisuras susceptibles al desarrollo de caries por pura prevención. Es, por tanto, un tratamiento odontológico preventivo. Este material actuará de barrera por su unión al diente, evitando el acceso de bacterias productoras de caries, además de facilitar la limpieza de los dientes donde se colocan.

    La colocación de selladores ha mostrado una reducción de la incidencia de caries del 86% tras un año y del 56% a los 4 años.

    Los selladores son efectivos mientras permanecen colocados correctamente, por lo que es aconsejable revisarlos entre los 6 meses y al año de su colocación.

    Imagen: pieza dentaria con sellador oclusal.

  • TELERRADIOGRAFÍA DIGITAL
  • La telerradiografía (o radiografía extrabucal) se trata de una radiografía tomada desde fuera de la boca y a una distancia determinada.

    Ésta puede ser: de perfil (cuando el haz de rayos incide perpendicularmente al plano medio sagital de la cabeza del paciente) o frontal (cuando el paciente está orientado de espaldas al tubo de rayos, es decir, mirando hacia el chasis).

    Imágenes:

    1. Imagen de telerradiografía.

    2. Posición del paciente.
  • TINCIÓN E ÍNDICES DE PLACAS
  • La placa bacteriana no es visible y solamente se detecta cuando adquiere cierto grosor o se calcifica y forma cálculos. Por ello, se utilizan colorantes (reveladores de placa) para poder visualizarla y detectar su presencia en las piezas dentarias.

    Existen diversos tipos de colorantes o reveladores de placa que se presentan en dos formatos: pastillas o líquido. Incluso existen colorantes de diferentes tonalidades para poder diferenciar la antigüedad de la placa bacteriana.

    Al quedar marcadas las caras de las piezas dentarias con placa bacteriana, se obtienen los denominados índices de placa (piezas con placa respeto a las piezas analizadas) y ello permite pautar y recomendar instrucciones de higiene dental a los pacientes.

    Imagen: boca tintada con reveladores de placa.